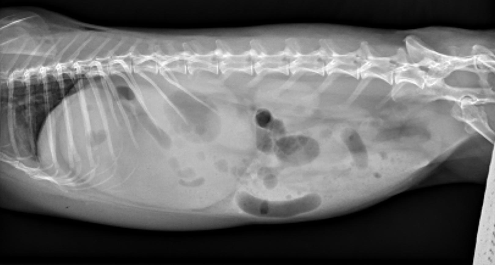
Image shows a right lateral abdominal radiograph of a rabbit with a distended stomach and two populations of bowel consistent with a gastric outflow obstruction.

  • Apr 15, 2025

Are Prokinetics Effective in Rabbits? My Thoughts on the Latest JAVMA Study

Do prokinetics actually work in rabbits? This blog breaks down the latest JAVMA study and outlines a practical, evidence-based RGIS protocol.

  • Mar 11, 2025

Top 5 Mistakes New Exotic Animal Vets Make (And How to Fix Them!)

  • Kristen Turner
  • 0 comments

New to exotic animal medicine? Avoid these five common mistakes and set yourself up for success in treating exotic mammals, reptiles, and birds!
Image shows a black rabbit with severely overgrown incisors with the mandibular incisors deviated rostrally relative to the maxillary incisors

  • Feb 19, 2025

Should You Trim or Extract? The Best Treatment for Rabbit Incisor Malocclusion

  • Kristen Turner, DVM, DABVP (Exotic Companion Mammal Practice)
  • 0 comments

Rabbit incisor malocclusion: causes, diagnosis, and treatment. Learn when to trim vs. extract, plus a step-by-step guide to surgical extraction.
AI-generated image of a bearded dragon wearing a cowboy hat and bandana, with a desert background

  • Jan 30, 2025

Why Evidence-Based Exotic Veterinary Medicine is the Future

  • Kristen Turner
  • 0 comments

The field of exotic veterinary medicine has evolved from the Wild West to a more evidence-based approach. We owe it to our patients and their owners to provide excellent, evidence-based, compassionate care, no matter the species.
Image shows a severely ill leopard gecko with dehydration and multiple layers of retained shed

  • Jan 14, 2025

How to triage sick exotic veterinary patients

  • Kristen Turner
  • 0 comments

Even if you don’t feel fully equipped to deal with exotic patient emergencies, there are some basic tenets of triage that are good to remember. 

  • Dec 15, 2024

HOW to successfully add exotic patients to your veterinary practice

  • Kristen Turner, DVM, DABVP (Exotic Companion Mammal Practice)
  • 0 comments

Find out the decisions you need to make, the training you and your staff need, and how to alter your practice to add exotic patients to your practice effectively.

  • Nov 27, 2024

Why YOU should incorporate exotic pet care into your veterinary practice

  • Kristen Turner
  • 0 comments

Veterinary medicine as a whole and exotic pet owners and their pets need more skilled and knowledgeable exotic vets.

  • Oct 4, 2023

Latest in literature: Maropitant as a perioperative analgesic in rabbits? and A retrospective analysis of pelvic limb fracture management in Psittacines

[Despite] anecdotal evidence of maropitant helping with visceral pain...Maropitant 2 mg/kg and 10 mg/kg SQ did not reduce pain in rabbits undergoing [surgery]...compared to control groups in this study.

  • Aug 26, 2023

How to perform a COMPLETE rabbit physical exam

  • Kristen Turner
  • 0 comments

Even if you’ve been seeing rabbits for years, read on for a review of performing a complete, systematic physical exam on rabbits. 

  • Aug 19, 2023

Top 10 (+1) Exotic Vet Med Textbooks

  • Kristen Turner
  • 0 comments

There are so many helpful resources out there, and textbooks are just one of them, but arguably the most important for a solid basis of exotics knowledge. This list just scratches the surface, but includes the texts I have found to be overall most useful for a variety of species.